Salud: un examen de sangre que permite anticipar el Alzheimer
Parisino gana una obra de Picasso de 1 millón de dólares con un boleto para una rifa de 100 euros
“Indicios sólidos". Vínculos entre el autismo y el Alzheimer podrían cambiar la forma en que tratamos ambos
Ciencia: crean neuronas humanas a partir de células de paciente con Alzheimer
"Ya no sufre". Las sentidas palabras de la familia de la actriz Mary Beth Hurt, tras su muerte
"El Alzheimer es una enfermedad de gente joven". Un reconocido neurólogo español trabaja en cómo detectarla cuando es asintomática
Consejos. Las claves de la psicología para evitar que un adulto mayor se pierda al salir de la casa
Pérdida de memoria en la pareja. Cómo actuar si el otro es insensible, según la psicoterapeuta Lori Gottlieb
Salud: el 40% de los casos de Alzheimer es prevenible con hábitos adecuados
Apuesta. ¿Un simple análisis de sangre puede predecir si alguien tendrá Alzheimer? Esta es la respuesta de los expertos
Salud: un mapa genético sobre el envejecimiento del cerebro
Impensados pero prometedores efectos contra la demencia: la opinión de los especialistas
Ciencia: En el cerebro de los superancianos, la firma de la resiliencia
Tras un estudio en Gran Bretaña. Un neurólogo explicó en detalle la relación entre los picos de glucosa y el Alzheimer
Salud: Nuevos hallazgos sobre el Alzheimer
A los 84 años. Murió el papá de David Bisbal: el desgarrador adiós del cantante en las redes sociales
Salud: Con el Alzheimer se "atasca" el botón replay de la memoria
Tras un estudio en Gran Bretaña. Un neurólogo explicó en detalle la relación entre los picos de glucosa y el Alzheimer
Salud: dos factores en el ADN de los ancianos que protegen contra el Alzheimer
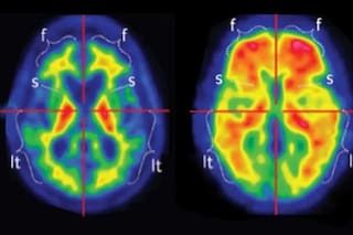
Alarmante. Las devastadoras revelaciones que dejó el escáner cerebral del paciente más joven con Alzheimer
Fáciles de incorporar. Los siete alimentos que estimulan la creación de nuevas neuronas, según el experto en longevidad David Céspedes
Regulador de salud de Brasil aprueba un nuevo medicamento contra el alzhéimer
Alzheimer, hacia el diagnóstico con una gota de sangre
Infosalus.- CEAFA pide a las administraciones abandonar "intereses economicistas" y financiar las nuevas terapias para el Alzheimer
Brasil.- El Supremo concede al general Augusto Heleno cumplir su condena por golpe de Estado en arresto domiciliario
Infosalus.- La anatomía de la región cerebral encargada de la percepción corporal, consciencia y memoria se define antes de nacer
En España, lluvia de millones en zona afectada por incendios
Infosalus.- La planificación compartida entre el paciente de demencia, sus familiares y el médico es "clave" para una atención digna
Ensayo clínico. LATE, la demencia que puede confundirse con Alzheimer y desafía el abordaje del deterioro cognitivo
Más leídas
1¿Cómo saber si hay alguien conectado a mi red de wifi?
2Un Brandoni poco conocido: así fue la vida del actor con tres perros, varios gatos, ocho tortugas y hasta un sapo
3La doctora Alejandra García será la primera mujer que presidirá el Colegio Público de la Abogacía de la Capital
4Detectan a un funcionario del Gobierno con propiedades y sociedades sin declarar en Estados Unidos
























